Архив дайджестов новостей → Дайджест новостей о лучевой диагностике ООО ДРАЙВ за Апрель 2023
Новости лучевой диагностики
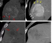
Гибридная компьютерная томографическая радиомика модель продемонстрировала площадь под кривой до 86 процентов при прогнозировании микрососудистой инвазии у пациентов с гепатоцеллюлярной […]… далее
Повреждения ремней безопасности в результате дорожно-транспортных происшествий могут быть изначально неправильно диагностированы, они могут быть опасными для жизни и требовать […]… далее
IT технологии и телемедицина
Кто может лучше оценить и диагностировать состояние функции сердца после чтения эхокардиограммы: искусственный интеллект (ИИ) или врач-специалист? Согласно данным исследователей […]… далее
Новое проспективное исследование показало, что сочетание сверхнизкодозной (ULD) компьютерной томографии (CT) и метода шумоподавления на основе искусственного интеллекта (AI) обеспечивает […]… далее
Новости ООО ДРАЙВ
Специалисты ООО “ДРАЙВ” провели оцифровку оборудования в ОАО “Минский тракторный завод” Филиал Открытого акционерного общества “Минский тракторный завод” “Медицинский центр […]… далее
Это интересно
Внедрение в хирургическую практику новых технологий, в частности предоперационного компьютерного 3D-моделирования, позволяет выполнять сложнейшие реконструктивные органосохраняющие операции, которые еще совсем […]… далее
Тераностика: будущее индивидуального ухода и точной медицины Четверг, 11 мая 12:00–13:00 КТ Регистрация открыта Присоединяйтесь к группе экспертов GE HealthCare […]… далее
Новинки оборудования и новости компаний
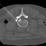
Согласно исследованию, опубликованному 28 марта в журнале «Радиология», импульсная радиочастота под контролем КТ в сочетании с инъекцией стероидов представляется многообещающей […]… далее
Новости Белорусской Радиологии
Обновленное рентгеновское отделение в Минской областной детской клинической больнице заметно изменилось, став более комфортным и для тех, кто здесь лечится, […]… далее









