Лента новостейИИ для обработки изображений

12.01.2026

Согласно исследованию, существующие системы искусственного интеллекта для обработки изображений могут быть перепрофилированы для борьбы с будущими пандемиями.

В новой статье, опубликованной в журнале Scientific Reports, подробно описывается потенциал перепрофилированных готовых к использованию систем обнаружения на основе искусственного интеллекта в снижении последствий будущих пандемий. 

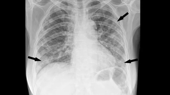
Вскоре после начала пандемии COVID-19 медицинские работники быстро осознали, что визуализация является жизненно важным инструментом как для диагностики вируса, так и для определения тяжести заболевания. Компьютерная томография грудной клетки стала критически важной для оказания медицинской помощи пациентам, но более доступные исследования, такие как рентгенография грудной клетки, были необходимы, особенно в условиях ограниченных ресурсов. 

«В условиях резкого увеличения объема диагностической визуализации во время пандемии, оперативное обследование, сортировка и изоляция пациентов с положительным или предполагаемым диагнозом COVID-19 стали критически важными, так как это позволило больницам и клиникам оперативно принимать меры предосторожности, планировать и управлять ситуацией», — отметили Ён Бом Ким из Колледжа информационных технологий Пхёнтхэкского университета (Республика Корея) и его коллеги. «В этих целях использование коммерчески доступного программного обеспечения на основе искусственного интеллекта может быть потенциально полезным, особенно в ситуациях, когда медицинские ресурсы могут быть ограничены». 

С начала пандемии в конце 2019 года появилось множество приложений на основе искусственного интеллекта, предназначенных для выявления признаков COVID-19 на изображениях. Хотя эти инструменты оказались эффективными, они появились после самых сильных вспышек вируса, что ограничило их способность сдерживать его распространение. Кроме того, эти инструменты были обучены на данных, специфичных для COVID-19, что потенциально может снизить их полезность в будущем, если произойдут другие широкомасштабные вирусные вспышки с другой этиологией. 

Недавно исследователи изучили, могут ли предварительно обученные приложения, разработанные для оценки рентгенограмм грудной клетки на предмет заболеваний, отличных от COVID-19, выявлять признаки вируса. Они проверили свою теорию, используя коммерческое программное обеспечение на основе искусственного интеллекта, первоначально разработанное для обнаружения легочных узлов на рентгенограммах грудной клетки. Команда использовала общедоступный набор данных рентгенограмм грудной клетки, полученных на ранних стадиях COVID-19, чтобы проверить способность программного обеспечения обнаруживать признаки инфекционного заболевания легких. 

Без дополнительного обучения работе с данными, специфичными для COVID-19, программное обеспечение показало себя превосходно. Оно достигло чувствительности 86,8% и специфичности 59,6% при выявлении признаков пневмонии, в том числе вызванной COVID-19. Также были получены многообещающие результаты при использовании всего лишь одного рентгеновского снимка грудной клетки в передне-задней проекции, достигнув чувствительности 89,2% и специфичности 67,4%. Программное обеспечение показало лучшие результаты при работе с рентгеновскими снимками в передне-задней проекции по сравнению с снимками в передне-задней проекции, что подчеркивает необходимость стандартизации протоколов визуализации в ситуациях, подобных вспышке COVID-19. 

Группа исследователей предположила, что эти результаты представляют собой «значительный прогресс в области радиологии». 

«Это исследование продемонстрировало осуществимость и эффективность использования существующих технологий искусственного интеллекта, первоначально разработанных для обнаружения легочных узлов, для решения неотложных задач здравоохранения во время глобальной пандемии», — отметили авторы, добавив позже, что исследование предоставляет «убедительные доказательства для немедленного клинического применения существующих технологий искусственного интеллекта в ответ на вспышки инфекционных заболеваний». 

Подробнее о результатах исследования команды можно прочитать здесь . 

Внимание, автоперевод! За ошибки перевода ответственности не несём. Первоисточник по ссылке.

Мы используем файлы cookie
С Политикой обработки файлов cookie можно ознакомиться по ссылке.