Лента новостей → Изобретение, которое спасает от аритмии: история создания ИКД

ИКД (имплантируемый кардиовертер-дефибриллятор) уменьшает опасность для жизни пациентов, у которых возможна внезапная остановка сердца, однако что мешало распространению одного из самых важных изобретений XX века?
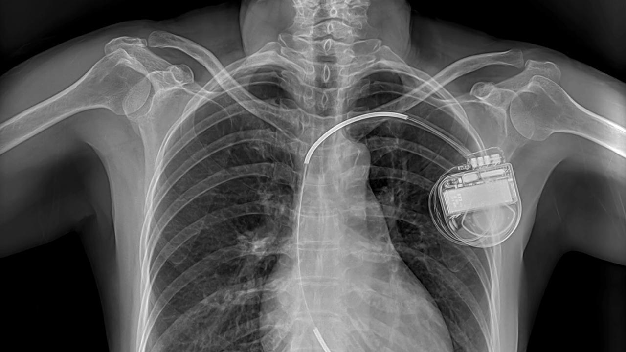
Первый кардиовертер-дефибриллятор был имплантирован в ходе операции, проведенной 4 февраля 1980 года в больнице Джона Хопкинса, об этом рассказывается в книге Томаса Морриса «Дело сердца. 11 ключевых операций в истории кардиохирургии».
Пациентом была женщина пятидесяти семи лет, у которой восемью годами ранее случился сердечный приступ. С тех пор у нее регулярно были приступы аритмии, а однажды ей удалось выжить лишь потому, что она упала в обморок на пороге больницы, где ее спасли с помощью дефибриллятора. Мировски наблюдал, как хирург Леви Уоткинс прикрепляет к ее сердцу электроды. Один из них был пропущен через вену в правое предсердие, а другой электрод в виде квадратной пластины был закреплен поверх околосердечной сумки. Само устройство было размещено в кармане под кожей живота, а затем подсоединено проводами к обоим электродам. Эта первая операция прошла невероятно успешно: когда пять месяцев спустя Мировски сделал о ней доклад, пациентка была жива и больше не страдала от фибрилляции желудочков.
В течение года после этой исторической операции шестнадцать пациентов получили ИКД. Работоспособность прибора можно было проверить, искусственного спровоцировав опасный сердечный ритм, и в подавляющем большинстве случаев дефибриллятор быстро устранял возникшую проблему. Многие кардиологи, однако, продолжили относиться к этому изобретению с подозрением, и за следующие несколько лет Мировски и его коллеги провели массу клинических исследований, чтобы доказать его эффективность и безопасность. Самые первые модели могли улавливать лишь фибрилляциию желудочков, а к 1983 году Мировски и Моуэр создали устройство второго поколения — кардиовертер-дефибриллятор — способный преобразовывать опасную тахикардию в нормальный сердечный ритм.
ПОНАЧАЛУ БЫЛИ СЕРЬЕЗНЫЕ ОПАСЕНИЯ НАСЧЕТ ТОГО, ЧТО ПАЦИЕНТЫ С ИКД БУДУТ ПОЛУЧАТЬ РАЗРЯД ТОКА В НЕСКОЛЬКО СОТЕН ВОЛЬТ — НИКТО НЕ ЗНАЛ, НАСКОЛЬКО БОЛЬНО ЭТО БУДЕТ.
Некоторые экземпляры первых приборов выходили из строя и через регулярные интервалы времени били своих носителей током, заставляя их изрядно мучиться. Когда же ИКД работал в нормальном режиме, то, по словам пациентов, удар током был не больнее крепкого удара в грудь. А такой временный дискомфорт, определенно, можно было потерпеть, особенно если учесть, что альтернативой ему была остановка сердца с последующей смертью. Когда Мировски начал свои исследования, большинство его коллег были уверены, что устройство сможет помочь лишь небольшому числу пациентов.
Но к середине 1980-х годов стало ясно, что случаи внезапной смерти от сердечного приступа достигают масштабов эпидемии — тысячи людей были подвержены постоянному риску, что у них в любой момент разовьется смертельно-опасная аритмия. К 1985 году устройство было имплантировано достаточному количеству пациентов, чтобы ученые могли сделать вывод, насколько эффективно оно помогает предотвращать смертельный исход. Результаты были потрясающими. При отсутствии лечения до 66 процентов больных умирало в течение года, в то время как показатель смертности среди тех, кому имплантировали ИКД, составлял всего два процента. Доказательств эффективности устройства было уже столько, что медицинскому сообществу ничего не оставалось, как признать ее. Итак, понадобилось двадцать лет, чтобы всех убедить.
ИЗОБРЕТАТЕЛЬ ЛЮБИЛ ПОВТОРЯТЬ СВОИ «ТРИ ЗАКОНА МИРОВСКИ»: «НЕ СДАВАЙСЯ, НЕ ПОДДАВАЙСЯ, И НАДЕРИ ЗАДНИЦУ ВСЕМ НЕГОДЯЯМ». ЛУЧШЕГО ДОКАЗАТЕЛЬСТВА ЕГО УПОРСТВА И БЫТЬ НЕ МОЖЕТ.
К 2009 году по всему миру ежегодно имплантировалось уже более 250 000 ИКД. Современные модели гораздо более совершеннее тех, что были в 1980-х. Они способы охватить более широкий спектр и вылечить от различных видов аритмии и как правило сочетают в одном устройстве функционал и ИКД, и кардиостимулятора. Сами электрокардиостимуляторы тоже преобразились до неузнаваемости: теперь они полностью программируемые и подстраиваются под потребности пациента, а также ведут регистрацию сердечной деятельности для ее дальнейшего анализа — данные передаются на компьютер по беспроводной связи или через Интернет.