Лента новостейЛучшие изображения, выбранные Radiology in Training editors

06.12.2022

Выборки были сделаны для 2022 Images in Radiology , онлайн-коллекции медицинских изображений, которая является частью журнала Radiology . Каждый год журнал Images in Radiology публикует захватывающие изображения, демонстрирующие важные медицинские диагнозы и современные технологии медицинской визуализации. Эти изображения иллюстрируют значительный вклад радиологии в область медицины.

Читательская аудитория журнала «Изображения в радиологии » значительно выросла за последние несколько лет, что привело к постоянному росту количества соответствующих публикаций. В 2022 году право на участие имели 43 изображения, опубликованные в период со 2 июля 2021 года по 30 июня 2022 года, по сравнению с 29 в 2021 году.

Три лучших изображения, занявшие второе место, занявшее первое место и победитель, были выбраны редакционной коллегией « Радиология в обучении» на основе совокупных баллов из рейтингов отдельных членов редакционной коллегии. Изображения были отобраны по трем критериям: новая технология или необычная патология, образовательные или наводящие на размышления и визуально привлекательные.

Лучшее изображение 2022 года в  радиологии  было взято из статьи Марка Ленфанта и Антуана Латриля под названием «Интрадуральная грыжа тонкой кишки». Кинематографическое 3D-изображение представляет собой драматическое изображение необычной патологии у 38-летней женщины с синдромом Марфана, перенесшей резекцию по поводу предполагаемой кисты правого яичника.
2022 Изображения в радиологии

Изображения 38-летней женщины с синдромом Марфана, у которой была диагностирована интрадуральная грыжа тонкой кишки из-за разрыва дуральной эктазии S1 справа. (A) Косое глобальное освещение КТ брюшной полости после полуавтоматической сегментации увеличенной афферентной тонкой кишки (*). Грыжевые ворота (указатели) отделяют брюшную полость от интрадурального пространства. (B, C) Т2-взвешенные МРТ в аксиальной (B) и сагиттальной (C) плоскостях показывают грыжу петли (стрелки на B) тонкой кишки (* на B), восходящую на уровне L5-S1 (стрелки), вызывающую значительную компрессию прилежащих корешков конского хвоста. (D) Интраоперационная фотография ущемленной кишки с признаками дистресса (стрелки). (E) Интраоперационная фотография (вид спереди) показывает грыжевое отверстие в крестце (указатели). 

 

Второе место заняла статья Александра Исаака, Андреаса Фейсста и Джулиана А. Люткенса под названием «Миокардит после вакцинации против COVID-19». 2022 год стал третьим годом подряд, когда изображение, связанное с COVID, было отмечено среди главных претендентов на получение награды « Изображения в радиологии ». все результаты исследований одного возраста.

1-е место, занявшее второе место в 2022 году, лучшие изображения

Изображения 15-летнего мальчика с миокардитом после вакцинации против COVID-19. Через день после получения второй дозы вакцины у него появились лихорадка, миалгия и перемежающаяся тахикардия. (A) Т2-взвешенная МРТ с коротким временем инверсии и восстановлением с инверсией и восстановлением при 1,5 Тл в проекции по короткой оси показывает очаги высокой интенсивности сигнала (стрелка) в базально-латеральной и нижней стенках, что указывает на отек миокарда. (B) Изображение позднего усиления гадолинием в проекции по короткой оси показывает соответствующее линейное субэпикардиальное усиление (стрелка), указывающее на воспалительный некроз миокарда. (C) Т1-картирование и (D) Т2-картирование в проекции по короткой оси показывают повышенные Т1 и Т2 в средней части боковой и нижнелатеральной стенок желудочка (стрелка на С и D), что указывает на острое повреждение миокарда (очаговый Т1, 1165 мс; очаговый Т2). , 70 мс; пороговые значения для острого миокардита, специфичные для учреждения: T1global ≥1000 мс, Общий T2 ≥55,9 мс). 

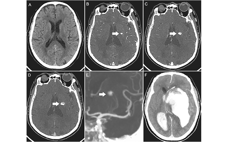
Второе место заняла ничья между двумя статьями. Первый, «КТ продолжающегося внутримозгового кровоизлияния», был сделан Чун Ма и И Чжоу с визуализацией, которая зафиксировала быстрое развитие прогрессирующего внутримозгового кровоизлияния у 73-летнего мужчины.

2-е место, занявшее 1 место в топе изображений 2022 г.

Изображения 73-летнего мужчины с острой левосторонней слабостью. (A) Осевое неконтрастное КТ-изображение головы не показывает внутримозгового кровоизлияния. (B) КТ-ангиограмма в артериальной фазе, полученная через 192 секунды после введения контрастного вещества, демонстрирует очаговое усиление в левых базальных ганглиях (стрелка). (В, Г) КТ-ангиограммы, полученные во вторую (В) и третью (Г) фазы, с задержкой 39 секунд и 38 секунд соответственно, выделяют активное распространение внутримозгового кровоизлияния с уровнем контраста крови (стрелки). (E) Проекционное изображение максимальной интенсивности в коронарной области показывает, что кровотечение локализовалось вблизи дистальных концов лентикулостриарных артерий (стрелка). (F) Последующее бесконтрастное КТ-изображение, полученное через 1 час после третьей фазы КТ-ангиограммы, показывает массивное увеличение гематомы, внутрижелудочковое кровоизлияние, гидроцефалию, и субфальцинозная грыжа.

Другая статья, занявшая второе место, — «Массивное периренальное вовлечение при болезни Эрдгейма-Честера» Хорхе Поло-Сабау и Бего – а -Ло-пес- Ботет -Зулуэта . В статье приведен пример визуализации редкого заболевания. Это служит напоминанием о том, что даже при отсутствии рентгенологических признаков, отражающих наиболее частые проявления определенных болезненных состояний, радиологи все же могут рассматривать определенные диагнозы, когда это оправдано сочетанием деталей визуализации и клинических проявлений.

2-е место, занявшее второе место в 2 лучших изображениях 2022 г.

Изображения 47-летнего мужчины с усиливающимся отеком нижних конечностей и хроническим вздутием живота. Слева: коронарная однократная Т2-взвешенная МРТ показывает массивную двустороннюю периренальную инфильтрацию мягкотканными образованиями. Справа: ПЭТ/КТ-сканирование фтордезоксиглюкозы-18 показывает слабое поглощение паранефральными массами и смещение печени вверх. 

Источник

Мы используем файлы cookie
С Политикой обработки файлов cookie можно ознакомиться по ссылке.