Лента новостейМодель искусственного интеллекта перспективна для интерпретации последующих рентгенограмм грудной клетки

30.10.2023

Группа из Сеула, Корея, разработала модель искусственного интеллекта, которая может помочь сократить рабочие процессы в радиологии, выявляя «отсутствие изменений» на последующих рентгенограммах грудной клетки пациентов в отделениях интенсивной терапии, согласно исследованию, опубликованному в журнале Radiology .

В тестовом наборе из 533 пар рентгеновских снимков пациентов (исходный и контрольный) алгоритм оказался очень точным при интерпретации тех, на которых не было обнаружено изменений, пишут первые авторы Джихе Юн, доктор философии, Юра Ан, доктор медицинских наук, из Университета Ульсан и его коллеги.

«Рентгенологи регулярно сравнивают текущие и предыдущие рентгенограммы грудной клетки во время интерпретации, чтобы повысить чувствительность обнаружения изменений и предоставить информацию для дифференциальной диагностики. Однако это приводит к большой рабочей нагрузке, которая может задержать своевременное сообщение о важных результатах», — написала группа.

Более того, большинство моделей искусственного интеллекта, разработанных для интерпретации рентгенограмм грудной клетки, на данный момент ограничены изображением в один момент времени. Таким образом, в этом исследовании группа стремилась проверить алгоритм глубокого обучения с использованием регистрации и вычитания грудной клетки для сортировки пар рентгенограмм грудной клетки, не показавших никаких изменений.

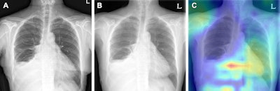
Пример сортировки без изменений на паре рентгенограмм грудной клетки в отделении неотложной помощи.  (А) На исходной задне-передней рентгенограмме грудной клетки у 63-летней пациентки выявлен небольшой объем левого (L) плеврального выпота и частичный ателектаз правой средней доли.  (B) Последующая рентгенограмма грудной клетки в задне-передней части, полученная у того же пациента через 1 день, не выявила существенных изменений.  (C) Карта активации градиентно-взвешенного класса показывает, что алгоритм не определил никаких изменений в паре изображений, без соответствующего выделения, поскольку выделенная область расположена над желудочно-пищеводным переходом.  Изображение предоставлено Радиологией.Пример сортировки без изменений на паре рентгенограмм грудной клетки в отделении неотложной помощи. (А) На исходной задне-передней рентгенограмме грудной клетки у 63-летней пациентки выявлен небольшой объем левого (L) плеврального выпота и частичный ателектаз правой средней доли. (B) Последующая рентгенограмма грудной клетки в задне-передней части, полученная у того же пациента через 1 день, не выявила существенных изменений. (C) Карта активации градиентно-взвешенного класса показывает, что алгоритм не определил никаких изменений в паре изображений, без соответствующего выделения, поскольку выделенная область расположена над желудочно-пищеводным переходом. 

Для обучения и проверки модели исследователи включили 3,3 миллиона рентгеновских снимков грудной клетки, полученных от 329 036 пациентов в их больнице в период с 2011 по 2018 год. В тестовую выборку вошли 533 пары рентгеновских снимков от пациентов отделений неотложной помощи (265 без изменений и 268 с изменениями) и 600 пар от пациентов отделений интенсивной терапии (ОИТ) (310 без изменений и 290 с изменениями).

Два торакальных рентгенолога проанализировали рентгеновские снимки, чтобы установить основную истину, включая нормальный или ненормальный статус, в то время как эффективность алгоритма оценивалась с использованием анализа площади под кривой рабочей характеристики приемника (AUC).

Согласно полученным результатам, алгоритм достиг AUC 0,77 при выявлении отсутствия изменений по сравнению с изменениями в наборе проверочных данных и AUC 0,8 в тестовых наборах неотложной помощи и отделения интенсивной терапии.

Кроме того, если для алгоритма установлен порог сортировки 40 % (это означает, что его уровень «достоверности» составлял 40 %), алгоритм достиг специфичности 88,4 % (верно в 237 из 268 пар) в наборе данных ED и 90,0 % (261 290 пар) в комплекте реанимации. При пороге сортировки 40% для неотложных результатов (консолидация, плевральный выпот и пневмоторакс) специфичность модели составляла от 78,6% до 100% на изображениях в отделениях неотложной помощи и от 85,5% до 93,9% на изображениях в отделениях интенсивной терапии.

«Алгоритм глубокого обучения может сортировать пары рентгенограмм грудной клетки, не показывающие никаких изменений, одновременно обнаруживая срочные интервальные изменения во время продольного наблюдения», — пишут авторы.

Однако необходимы дополнительная проверка и уточнение, добавили они.

В сопроводительной редакционной статье Джулианна Чум, доктор медицинских наук из Университета Джонса Хопкинса в Балтиморе, доктор медицинских наук, подтвердила необходимость дополнительных исследований и отметила, что AUC от 0,7 до 0,8 считается показателем хороших результатов в машинном обучении.

«Однако отличная производительность, которую ожидают от радиологов, и идеальная производительность, к которой стремятся радиологи, с помощью модели не были достигнуты», — написала она.

Тем не менее, модели искусственного интеллекта, которые могут помочь сократить объемы работы, могут быть важны для предотвращения выгорания, пишет Чум.

«Итак, будем ли мы просто продолжать сохранять статус-кво, пытаясь интерпретировать все больше изображений с помощью имеющихся у нас инструментов, или мы возложим свои надежды на ИИ, у которого есть свои противоречия? То есть хотим ли мы перемен или никаких перемен?» она заключила.

Источник

Мы используем файлы cookie
С Политикой обработки файлов cookie можно ознакомиться по ссылке.