Лента новостейНовая компьютерная томография с подсчетом фотонов улучшает обнаружение миеломных заболеваний костей

13.09.2022

Технология обеспечивает лучшее качество изображения при сканировании всего тела с низкой дозой облучения.

Согласно новому исследованию, опубликованному в журнале Radiology , новая технология КТ в сочетании с шумоподавлением на основе ИИ обеспечивает превосходное обнаружение заболеваний костей, связанных с множественной миеломой, при более низких дозах облучения, чем обычная КТ .

Новая технология, известная как КТ с детектором фотонов, дебютировала в клинике в 2021 году после десятилетий разработки. Непосредственно преобразовывая отдельные рентгеновские фотоны в электрический сигнал, детектор CT со счетом фотонов может уменьшить размер пикселя детектора и улучшить пространственное разрешение изображения.

«Кроме того, КТ с подсчетом фотонов продемонстрировала гораздо лучшую эффективность дозы, чем стандартная КТ, что позволяет получать изображения больших участков тела со сверхвысоким разрешением», — сказал ведущий автор исследования Фрэнсис Баффур, доктор медицинских наук, радиолог-диагност в Мейо. Клиника в Рочестере, Миннесота.

Этот потенциал для улучшения качества изображения при сканировании всего тела с низкой дозой облучения вдохновил доктора Баффура и его коллег на изучение технологии у людей с множественной миеломой, заболеванием, которое формируется в типе лейкоцитов, обнаруженных в костном мозге, называемом плазматической клеткой. . Заболевание костей, характеризующееся участками деструкции кости, известными как литические поражения, обнаруживается примерно у 80% больных множественной миеломой.

Международная рабочая группа по миеломе рекомендует низкодозовую КТ всего тела для оценки сопутствующего заболевания костей. Гораздо меньше известно о счетчике фотонов детектора КТ с такой настройкой.

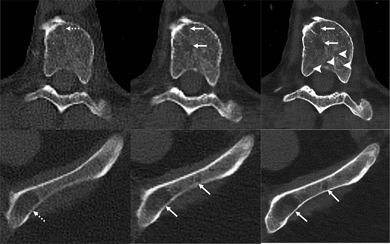
Рис. 5 Баффур

Изображения 71-летнего мужчины с множественной миеломой. Литические поражения (пунктирные стрелки) в теле грудного позвонка и левом крыле подвздошной кости более заметны на КТ-изображении с аксиальным детектором счета фотонов (PCD) без контрастного усиления (в центре; сплошные стрелки) по сравнению с аксиальным детектором с интеграцией энергии без контрастного усиления. КТ-изображение (слева). На аксиальных КТ-реконструкциях PCD с 0,6-мм Br76 без контрастного усиления (справа) было обнаружено больше поражений (указатели стрелок).

Признаки активности болезни более четко выявляются на сканере подсчета фотонов

Доктор Баффур и его коллеги сравнили КТ с детектором подсчета фотонов с традиционной низкодозовой КТ всего тела у 27 пациентов с множественной миеломой, средний возраст которых 68 лет. Пациентам было проведено сканирование всего тела с использованием обоих типов КТ, и два радиолога сравнили изображения.

«Мы посчитали, что это яркий пример демонстрации сверхвысокого разрешения КТ с подсчетом фотонов при низких дозах сканирования», — сказал доктор Баффур.

Исследователи также применили метод глубокого обучения искусственного интеллекта, разработанный в Центре клинических инноваций КТ клиники Мэйо, чтобы уменьшить шум в очень четких изображениях, полученных при подсчете фотонов. КТ с детектором подсчета фотонов и шумоподавлением с глубоким обучением продемонстрировала улучшение визуализации и обнаружила больше поражений по сравнению с обычной КТ.

«Мы были рады видеть, что мы не только смогли более четко обнаружить эти особенности активности множественной миеломы на сканере подсчета фотонов, — сказал д-р Баффур, — с помощью методов шумоподавления с глубоким обучением, которые позволили нам создавать более тонкие срезы изображения. , мы смогли обнаружить больше поражений, чем на стандартной КТ».

Исследователи надеются провести последующие исследования пациентов с предвестниками множественной миеломы, чтобы увидеть, обнаруживает ли КТ с детектором подсчета фотонов поражения костей, которые затмевают этих пациентов активной множественной миеломой.  

«Наше волнение как ученых и радиологов в этих результатах связано с нашим осознанием того, что этот сканер может изменить стадию заболевания, потенциально повлиять на выбор терапии и, в конечном итоге, на результаты лечения пациентов».

Они также хотят рассмотреть КТ с детектором подсчета фотонов в других случаях, когда протоколы с низкими дозами полезны, например, для педиатрических или беременных пациентов или для скрининга.

«Уже ведутся исследования, чтобы определить, насколько низкими мы можем пользоваться при сканировании, сохраняя при этом диагностические КТ-изображения», — сказал д-р Баффур. «Итак, на горизонте много возможностей и огромный потенциал для КТ с детектором подсчета фотонов в клинической практике».

Доктор Баффур поблагодарил своих коллег Синтию МакКоллоу, доктора философии, и Джоэла Флетчера, доктора медицины, директоров Центра клинических инноваций КТ клиники Мэйо, за их работу по разработке клинических приложений КТ с детектором подсчета фотонов.

Источник

Мы используем файлы cookie
С Политикой обработки файлов cookie можно ознакомиться по ссылке.