Лента новостей → Новый ИИ-сервис для распознавания плоскостопия

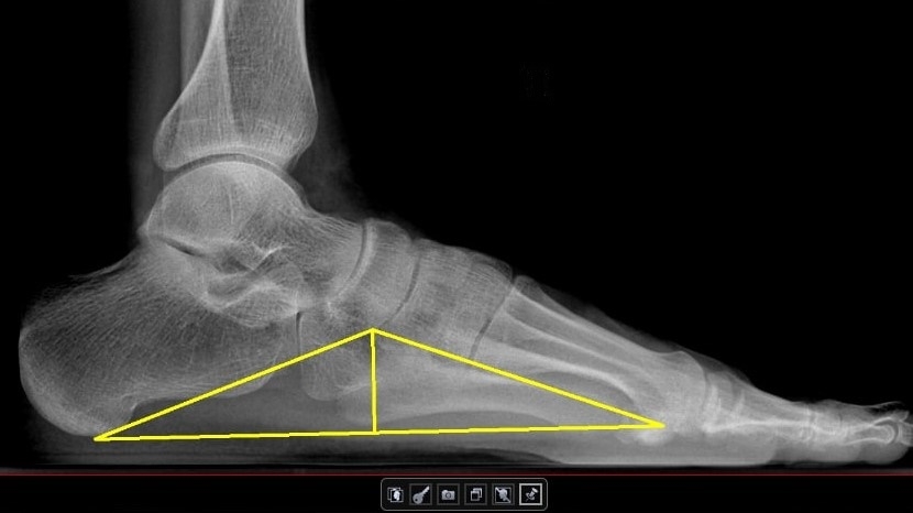
В Москве нейросети научились определять признаки плоскостопия на рентгенографии стопы. Таким образом, сейчас умные алгоритмы помогают в поиске патологий по одиннадцати различным направлениям. Об этом сообщил заместитель руководителя Департамента здравоохранения города Москвы Илья Тыров.
«Рентгенологи Москвы теперь могут воспользоваться искусственным интеллектом для распознавания признаков плоскостопия. Нововведение упрощает и ускоряет диагностику заболевания, а также определение его степени, позволяет врачам экономить время на описании нормы и результатов исследований. Благодаря расширению возможностей цифровых сервисов, сейчас умные алгоритмы помогают в поиске заболеваний уже по одиннадцати различным направлениям. Отмечу, что новый сервис для распознавания плоскостопия на рентгенографии – это отечественный продукт», – рассказал Илья Тыров.
Прежде чем допустить искусственный интеллект к анализу снимков лучевых исследований пациентов городских медицинских учреждений, научные сотрудники, инженеры и врачи-эксперты тестируют сервисы искусственного интеллекта. Новый сервис успешно прошел функциональные и калибровочные испытания, отмечает директор Центра диагностики и телемедицины ДЗМ Юрий Васильев:
«Интеграция систем искусственного интеллекта во врачебные станции помогает ускорить существующие рабочие процессы, в том числе увеличивает производительность труда и решает проблему кадрового дефицита. Технологии выступают для врача помощником: производительный вектор специалиста может быть больше направлен не на описание нормы, результатов исследований, а сосредоточится на конкретном пациенте. Работу ИИ-сервисов можно сравнить с работой фотоаппарата в вашем телефоне: мобильный подгонит технические характеристики – ISO, фокусное расстояние, выдержку, а вам требуется лишь встроить кадр».
Московские рентгенологи уже два года пользуются сервисами на базе технологий искусственного интеллекта. За это время повысилась точность и скорость их работы. Количество направлений исследований достигло одиннадцати, а проанализированных медицинских изображений – более 6 миллионов.
Эксперимент по внедрению компьютерного зрения в медицину был запущен совместно Комплексом социального развития Москвы и городским Департаментом информационных технологий на базе столичного Центра диагностики и телемедицины. Он стал площадкой для развития технологий искусственного интеллекта в России, а также поддержки отечественных разработчиков.