Лента новостей → Предсказать невидимое на компьютерной томографии: радиомика внутримозговых кровоизлияний.
На прошедшей в сентябре Конференции по машинному интеллекту в медицинской визуализации (CMIMI) исследователи из Китая представили не просто модель машинного обучения, которая может с большой точностью выявлять кровоизлияния на компьютерной томографии головного мозга, но и рассказали о биомаркерах визуализации (радиомаркерах), благодаря которым можно предсказать способности мозга пациента к восстановлению.

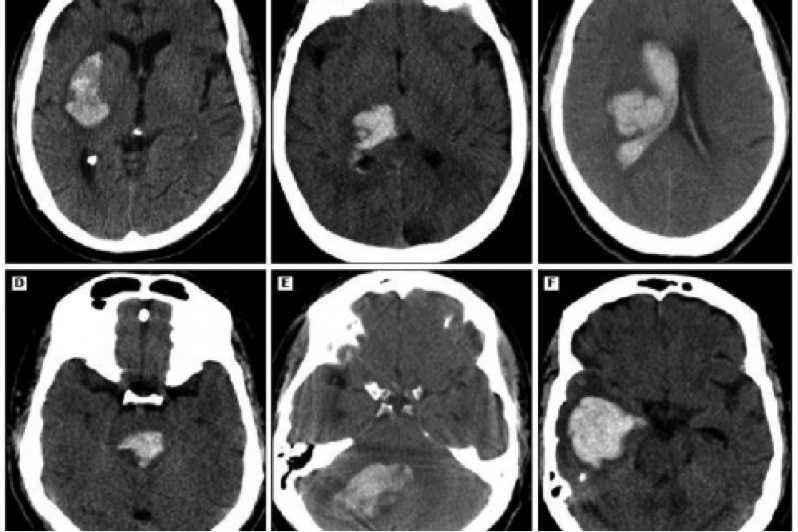
Кровоизлияние на КТ мозга (белые пятна или области с повышенной плотностью, так называемые гиперденсные). Credit: public domain
В последнее время можно все чаще услышать о различных «омиксных» технологиях в медицине, которые основаны на достижениях геномики, транскриптомики, протеомики, метаболомики, то есть наук, направленных на изучении того, как устроен геном и как реализуется закодированная в нем информация. В медицинской визуализации, а в первую очередь это касается компьютерной томографии (КТ) и магнитно-резонансной томографии (МРТ), тоже есть огромное количество данных, которые остаются скрытыми за пределами возможностей человеческого глаза различать оттенки серого. Но это не значит, что они скрыты для машины.
Искусственный интеллект вполне может «видеть» невидимые глазу изменения в веществе мозга и выявлять в этих изменениях закономерности, так называемые биомаркеры визуализации или радиомаркеры. Эти радиомаркеры можно объединять с клиническими, лабораторными и иными данными о пациентах и искать взаимосвязи, основываясь на которых можно затем делать предсказания относительно того, как, например, человек будет восстанавливаться после инсульта и кровоизлияния, насколько хорошо отреагирует на тот или иной вид терапии.
Так, КТ-радиомика и модель машинного обучения позволила китайским исследователям предсказать увеличение объема гематомы у пациентов со спонтанным внутримозговым кровоизлиянием (ICH). После экспериментов с множеством различных моделей машинного обучения ученые обнаружили, что модель, которая анализировала множество радиомаркеров на снимках мозга пациентов с гематомой, а также их клинические данные, сработала достаточно точно (дала площадь под кривой 0,9, что можно интерпретировать как весьма неплохой показатель на уровне врача) на наборе тестовых примеров.
«Исследование показало возможности радиомики в прогнозировании распространения гематомы при спонтанном внутримозговом кровоизлиянии, что может помочь как можно лучше спланировать клиническое вмешательство и сделать еще один шаг на пути к персонализированной медицине», — отметил Зекун Цзян (Zekun Jiang) из Западно-Китайского центра биомедицинских данных Сычуаньского университета.
Спонтанное ICH – это опасное клиническое состояние, которое имеет высокий уровень инвалидизации и смертности, а увеличение объема гематомы всегда связано с более плохим прогнозом у пациентов. Раннее выявление тех радиомаркеров, которые позволяют предсказать тенденцию к расширению области с кровоизлиянием, поможет врачам вовремя помочь пациенту и не допустить ухудшения клинической ситуации.
Сначала исследователи создали оптимальную радиомическую модель на основе КТ для прогнозирования распространения гематомы у пациентов со спонтанным ICH. Они ретроспективно собрали данные у 235 пациентов в больнице западного Китая. Из этих пациентов у 80 (34%) наблюдалось увеличение объема гематомы через сутки после ее образования.
Всем пациентам в исследовании делали КТ головного мозга без контрастирования в течение шести часов после появления симптомов, а затем следующую КТ в течение 24 часов после появления симптомов. Исследователи использовали 75% серий изображений для обучения модели и 25% — для тестирования.
Сегментация областей интереса при КТ-исследованиях выполнялась с помощью программного обеспечения (ПО) для сегментации 3D-изображений ITK-Snap. Затем с помощью ПО для радиомики с открытым исходным кодом были извлечены различные признаки, которые бы могли стать радиомаркерами (всего 1106 элементов первого порядка, текстуры, формы и и тд).
Основываясь на этих данных, исследователи построили девять различных моделей машинного обучения, используя один из трех методов выбора радиомических характеристик и один из трех классификаторов. Самая эффективная модель выявила семь оптимальных радиомаркеров, включая шесть текстурных характеристик. Как отмечают авторы, это говорит о сильной неоднородности поражения при кровоизлиянии.
В итоге четыре признака – исходный объем гематомы, диастолическое артериальное давление, симптом «отпочковывания» (дополнительный небольшой «островок» крови рядом с основным ICH) и симптом «кляксы» (небольшая зона увеличения плотности в составе основного ICH) повышали риск увеличения гематомы.
В ходе тестирования исследователи обнаружили, что комбинированная радиомическая и клиническая модель превосходит эти же модели, но использованные отдельно.
В ограничения этого исследования можно занести его ретроспективный характер (то есть данные были получены не в ходе исследования, а раньше), одноцентровость (все данные собирались в одной больнице) и дисбаланс между случаями с увеличением гематомы и с благоприятным течением поражения мозга. Тем не менее это весьма показательное предварительное исследование, которое в дальнейшем можно подтвердить крупными многоцентровыми данными.