Лента новостей → Результаты МРТ у плодов, подвергшихся воздействию опиоидов, показывают меньший размер мозга
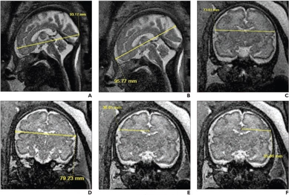
Пациентка 33 лет (гестационный возраст 30 недель и 6 дней), без внутриутробного воздействия опиоидов, которой была проведена МРТ плода. Сагиттальные (A, B) и коронарные (CF) T2-взвешенные изображения SSFSE показывают двумерные измерения лобно-затылочного диаметра головного мозга (A), лобно-затылочного диаметра кости (B), бипариетального диаметра мозга (C), бипариетального диаметра кости (D ), правый мозговой бипариетальный диаметр (Е), левый мозговой бипариетальный диаметр (F).
Согласно статье «Выбор редакции» в Американском журнале рентгенологии (AJR) ARRS , у плодов в третьем триместре беременности, подвергшихся внутриутробному воздействию опиоидов, были обнаружены множественные меньшие 2D-биометрические измерения мозга, а также измененная физиология плода. , на контрольной МРТ.
Отмечая нехватку литературы по визуализации, оценивающей пренатальное воздействие опиоидов на развитие мозга, «наши результаты демонстрируют влияние пренатального воздействия опиоидов на развитие мозга плода, что, в свою очередь, может повлиять на послеродовые клинические исходы», — пишет первый автор Уша Д. Нагарадж, доктор медицинских наук, из Медицинский центр детской больницы Цинциннати в Огайо.
Проспективное многоцентровое исследование случай-контроль Нагараджа и его коллег включало 65 женщин (средний возраст 29 лет) в третьем триместре беременности, которым была проведена МРТ плода с 1 июля 2020 г. по 31 декабря 2021 г. в трех академических медицинских центрах США: Детская больница Цинциннати. Медицинский центр, Детская больница Арканзаса и Университет Северной Каролины в Чапел-Хилл. В общей сложности 28 плодов (средний гестационный возраст 32,3 недели) были классифицированы как подвергшиеся воздействию опиоидов, а 37 плодов (средний гестационный возраст 31,9 недели) не подвергались воздействию опиоидов внутриутробно. Четырнадцать двухмерных биометрических измерений мозга плода были оценены вручную и использованы для получения четырех индексов.
При поправке на гестационный возраст, пол плода и воздействие никотина 7 из 14 двухмерных биометрических измерений — лобно-затылочный диаметр головного мозга, бипариетальный диаметр кости, бипариетальный диаметр головного мозга, длина мозолистого тела, высота червя, передне-заднее измерение моста и поперечное диаметр мозжечка – были значительно меньше у плодов, подвергшихся воздействию опиоидов, чем у плодов, не подвергавшихся воздействию, по данным МРТ плода.
«Кроме того, — заключили авторы этой статьи AJR , — у плодов, подвергшихся пренатальному воздействию опиоидов, повышена частота тазового предлежания и увеличения объема амниотической жидкости».
